超加工食品或与大腿肌肉脂肪浸润有关,MRI 研究揭示潜在关联
研究背景
骨骼肌中的脂肪浸润(肌内脂肪堆积)与肌肉力量下降、功能障碍密切相关,是骨关节炎进展的重要风险因素之一。然而,饮食质量——尤其是超加工食品(UPF)的摄入——与肌肉脂肪浸润之间是否存在独立关联,此前缺乏基于影像学的直接证据。
发表在 Radiology(RSNA)上的一项新研究首次利用大腿 MRI 系统评估了这一关系。
研究设计
研究团队由 UCSF 的 Zehra Akkaya 等人主导,纳入 615 名有膝关节炎风险但尚未确诊的参与者。样本特征:
- 平均年龄 59.5 岁
- 平均 BMI 27
- UPF 占饮食比例均值 41.4%
研究使用大腿 MRI 评估肌肉脂肪浸润程度,采用 Goutallier 分级进行半定量分析,同时通过饮食问卷记录 UPF 摄入占比。
主要发现
在调整腰围这一关键混杂因素后,UPF 摄入比例与肌肉脂肪浸润之间的关联仍然显著:
- 回归系数 β = 0.134(95% CI: 0.052–0.215,P = .001)

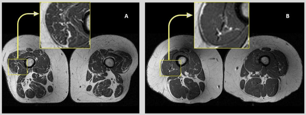
上图:不同饮食模式参与者的典型大腿 MRI 影像对比。UPF 摄入较高者的肌间脂肪信号更为明显。
值得注意的是,即使进一步控制总热量摄入和体力活动水平,这一关联依然成立,提示 UPF 可能通过独立于能量平衡的机制影响肌肉组成。

上图:多元回归分析结果汇总表,展示了不同调整模型下 UPF 与肌肉脂肪浸润的关联强度。
解读与局限
作为横断面研究,该分析无法确定因果关系。UPF 摄入较高与肌肉脂肪浸润之间存在统计学关联,但究竟是 UPF 直接促进了脂肪在肌肉中的沉积,还是其他未测量因素同时影响了饮食选择和肌肉组成,仍需前瞻性研究加以验证。
该研究的意义在于首次将影像学手段应用于饮食质量与骨骼肌组成关系的研究,为后续纵向研究提供了方法学基础。
来源
Akkaya Z, et al. Radiology (RSNA). DOI: 10.1148/radiol.251129
相关推荐
- 研究称精子储存时间越长质量越差,更频繁射精或有助受孕3/26/2026
- 几种植物成分组合,抗炎效果翻数百倍:新研究揭示协同机制4/24/2026
- 睡前 3 小时不吃:一项 RCT 如何证明禁食与睡眠对齐能改善心血管健康4/25/2026
- 多族群研究揭示近视新基因,预测模型或助早期干预4/25/2026
- 孤独感影响老年记忆?研究揭示关键差异4/26/2026
- 小麦面粉或助长体重?小鼠实验揭示其代谢奥秘4/26/2026
- 终生认知丰富度与阿尔茨海默病:Rush 大学近 2000 人研究显示晚 5 年发病4/29/2026